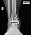
Ankle Joint replacement has dramatically improved the treatment of ankle arthritis over the past decade leading to decreased pain and an improvement in function.
The development of patient-specific technology has further enhanced the accuracy of implant alignment and decreased the surgical time.
During an appointment with Dr. Vann, an evaluation will include a review of the individuals history, discussion of current symptoms, physical examination, x-rays, a discussion of findings and treatment options.
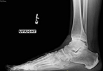
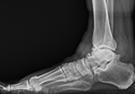
Our standing xray protocol is used to determine the overall shape, structure and integrity of the ankle and foot, while facilitating a comparison with the opposite side. The x-rays also assist in the evaluation of associated conditions.
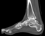
If you are a candidate for an ankle replacement, we will then obtain a CT (computed tomography) scan with multiple views creating a 3D assessment of your unique anatomy.
Your knee will be included in the CT scan to further improve alignment.
The CT scan allows us to create the patient-specific parameters used to plan and perform your surgical procedure with enhanced accuracy.
Antibiotics are given and the Ankle Joint replacement procedure is performed at Houston Methodist Sugar Land Hospital in the sterile operating room environment.
Most patients are able to return home the day of their surgical procedure.

























